TPLO Surgery
CCL Tear
Arthrex Vet Systems
Canine Orthopedics

Kona's Story

When Kona, a 6-year-old Wheaten terrier, tore her CCL, Arthrex products and a TPLO procedure helped her get back on her feet.

Arthrex Vet orthopedics helps Otis recover from CCL tear

Kona, a 6-year-old soft-coated Wheaten terrier, loves playing in the yard with her two dog siblings. But one winter day, a sudden yelp told her family something was wrong.

An Unexpected Cranial Cruciate Ligament Injury

“She was playing with our other dogs, Corduroy and Teddy, and she yelped and started limping,” Morgan Ryder, Senior Employee Relations Specialist at Arthrex, said. “But she can be pretty dramatic, so we didn’t worry about it too much at first.”

When Kona didn’t improve, Morgan and her husband, Kyle, visited their primary veterinarian. X‑rays and an exam confirmed a cranial cruciate ligament (CCL) tear, and they were referred to BluePearl Pet Hospital for orthopedic care.

Arthrex Products Used for CCL Surgery

At BluePearl, veterinary orthopedic surgeon Curry Keoughan, DVM, DACVS‑LA, examined Kona and confirmed she needed surgery to stabilize her knee. When he learned Morgan worked at Arthrex, he smiled.

“He told me these are just the best products,” Morgan said. “It was incredible to see someone in the field so excited about Arthrex products.”

Dr. Keoughan has used Arthrex products since 2001. “I have always been impressed with Arthrex,” he said. “The company has invested so much in veterinary care.”

Cranial Cruciate Ligament Surgery for Kona

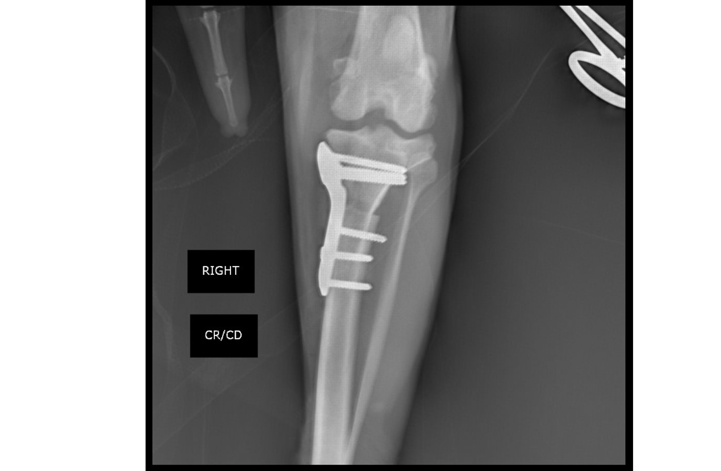
To help Kona regain comfortable movement, Dr. Keoughan performed a tibial plateau leveling osteotomy (TPLO) using the Arthrex TPLO Locking Plate System.

Dogs rely heavily on their CCL to keep the knee stable. When it tears, the shinbone can shift forward, causing pain and inflammation.

TPLO surgery adjusts the angle of the shinbone so the knee becomes naturally stable again—even without an intact CCL. This helps reduce pain and allows dogs to walk more comfortably.

“This is the most common surgery in dogs after spay and neuter,” he explained. “Dogs rupture the cruciate ligament more often than people because of the steep angle in their stifle joint.”

After adjusting the bone angle, he secured the knee using a locking plate and screws designed specifically to fit a dog’s anatomy.

“The pets we operate on do very well,” Dr. Keoughan said. “The technology has improved so much that it’s a very rewarding surgery to do.”

Find a Veterinarian Near You

Enter your ZIP to find a veterinarian near you

Please enter your city, state, or zip (US only)

Designed Specifically for Your Pet’s Orthopedic Needs

Arthrex Vet Systems creates implants, instruments, and techniques developed specifically for the unique shape and movement of an animal’s joints.

For surgeries like TPLO, using high‑strength stainless steel or titanium alloy plates that fit the natural curve of a pet’s bone can help reduce complications and support a smoother recovery.

CCL Surgery Recovery and Return to Health

Within about two months, Kona was back to her usual happy, active self.

“She is completely fine—you’d have no idea that she had surgery a few weeks ago,” Morgan said.

“We don’t have kids—these are our fur babies,” she said. “It brings home how much this company supports employees and their families, whether it’s a pet or a person.”